073-424-5185

〒640-8158
和歌山県和歌山市十二番丁45番地

診療受付時間

月~金曜日 8:30~11:00
診療受付時間 8:20~11:00
休診日/土・日曜日、祝祭日、年末年始

消化器内科

特色

消化管の病気(食道、胃、十二指腸、小腸、大腸のがん、潰瘍、炎症、静脈瘤など)、肝臓の病気(肝炎,肝がんなど)、胆嚢・胆管の病気(胆石、胆のう・胆管がんなど)、膵臓の病気(膵炎、膵がんなど)を診療しています。

地域の病院や診療所の先生方と緊密に連携し、看護師、薬剤師、臨床検査技師、管理栄養士、理学療法士、事務と協力しながら、迅速で確実・丁寧な診断・治療に努めています。
積極的に研究発表し、治験にも参加しています。和歌山県立医大消化器内科からの応援を頂いています。

日本消化器病学会認定施設、日本消化器内視鏡学会指導連携施設、日本肝臓学会特別連携施設です。

外来患者総数は年間約一万人、入院患者総数は年間約6000人で増加しています。

実績につきましては「各科症例数」をご覧ください

業績(学会発表など)につきましては「各科業績」をご覧ください

特色

内視鏡センターとして、胃がん・大腸がん、食道がん・十二指腸がんの早期診断・治療に重点を置いています。早期がんに対しては、内視鏡治療(ESD:内視鏡的粘膜下層切開剥離術、EMR:内視鏡的粘膜切除術)を実施しています。これらの内視鏡治療は専門性が高く、外科手術に比べて負担が小さく入院期間も短期です.がん以外の疾患では、出血性胃潰瘍・十二指腸潰瘍、食道静脈瘤破裂、急性胆管炎、大腸・食道狭窄、嚥下障害に対して必要な内視鏡治療(止血術、胆管ドレナージ術、ステント挿入術、胃ろう造設術)を行っています。

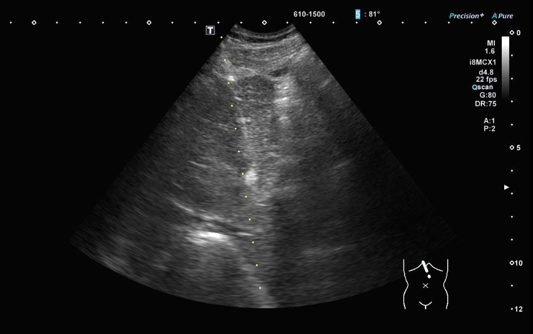
肝疾患の診断・治療も重要です。慢性肝炎では、C型慢性肝炎に対する直接型抗ウイルス薬(DAA)によるIFNフリー抗ウイルス治療、B型慢性肝炎に対する核酸アナログ製剤(エンテカビル・テノホビル)治療の多数の経験があります。最近増えている脂肪性肝炎(SLD: MASH、 MASLD)を含めて、肝臓リハビリテーション、亜鉛補充、栄養療法(NST)、肝臓病教室、市民公開講座を通じて多職種がサポートする体制を構築しています。肝臓がんに対しては進行度や病状に応じて、ラジオ波焼灼療法やマイクロ波焼灼療法、外科手術、肝動脈塞栓化学療法併用、抗がん剤治療を選択しています。特に肝臓がんに対する超音波ガイド下治療では、CTやMRI画像を取り込み超音波画像と同期させ同一画面に表示する機能(Smart Fusion Imaging)を実装し、治療専用の穿刺用マイクロコンベックスプローブにより治療精度の向上を図っています。

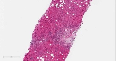
最新の超音波装置を駆使し、肝臓繊維化の評価や、肝障害の精密検査として超音波ガイド下肝生検、急性胆嚢炎に対する胆嚢ドレナージ術も多くの実績があります。

治験

非アルコール性脂肪肝炎の治験について

あなたの肝臓の健康につながることを始めてみませんか?【無症状の肝臓病「NASH」】

↓画像をクリックすると、大きな画像の説明書が表示されます。

主な検査・医療設備等

内視鏡検査

消化管疾患の診断・治療に用います.特に早期がん,大腸ポリープの診断・治療には,通常光観察に加え,粘膜表層の毛細血管や粘膜微細模様を強調表示するの特殊光観察(NBI: narrow band imaging)機能を搭載した内視鏡システムが有用です。
写真:オリンパス社製電子内視鏡システム(EVIS X1) /上部:EZ1500・XZ1200・HQ290・H290T・1200N、下部:XZ1200I・H290ZI、側視鏡:Q290V

腹部臓器(肝臓/胆嚢/膵臓/脾臓/腎臓/膀胱/尿管/消化管等)疾患の診断・治療に用います。
肝臓の線維化の評価にSWE(Shear wave Elastography)、脂肪化の評価にATI(Attenuation imaging)を測定しています。

スタッフ紹介

部長

川口 雅功

略歴・所属学会等

平成06年03月 香川医科大学医学部卒業

日本内科学会

日本消化器病学会

日本肝臓学会

日本消化器内視鏡学会

日本超音波医学会

日本静脈経腸栄養学会

日本温泉気候物理医学会

日本肝癌研究会

認定資格等

日本肝臓学会専門医・指導医

日本内科学会 総合内科専門医

日本消化器病学会認定 専門医・指導医

日本消化器内視鏡学会指導医 専門医・指導医

臨床研修指導医

日本静脈経腸栄養学会認定医

和歌山市医師会胃がん検診読影委員会委員

和歌山県肝疾患認定審査会委員

医長

川口 敬司

経歴・所属学会等

平成26年 和歌山県立医科大学 卒業

医師

伊豫 はるか

経歴・所属学会等

平成30年 和歌山県立医科大学 卒業

内科学会

内視鏡学会

肝臓学会

日本超音波医学会

専門分野

内科専門医

消化器病専門医

検査・治療実績 令和5年度(2023/4-2024/3)

上部消化管内視鏡1375例
下部消化管内視鏡628例
腹部超音波検査2724例
内視鏡的消化管腫瘍切除術(ESD・EMR)120例
内視鏡的逆行性胆膵管造影検査・治療45例
内視鏡的食道静脈瘤硬化療法、結紮術11例
内視鏡的胃瘻造設術34例
肝腫瘍ラジオ波焼灼/マイクロ波凝固療法18例
肝生検23例

学会

川口雅功、英 肇、市野浩美らNST介入を行った肝硬変症例の検討と今後の課題
日本臨床代謝栄養学会近畿支部学術集会
《2021.9.18》
川口雅功、山崎博史、高木 陽ら当院のCOVID-19患者における血清亜鉛値についての検討
日本内科学会近畿地方会
《2021.12.4》

研究会

川口雅功、英 肇COVID-19患者における血清亜鉛値の検討
日本亜鉛栄養治療研究会
《2021.8.7》
川口雅功、酒井亮太、藤本和浩ら腹水濾過濃縮再静注を行った非代償性肝硬変患者の腹水中亜鉛量についての検討
第23回日本亜鉛栄養研究会
《2022.2.5》

講演会

  川口雅功 慢性肝炎・肝硬変に対する治療・自己免疫性肝疾患
非アルコール性脂肪性肝炎について
《2022肝臓病教室市民公開講座,Web開催》
  川口雅功 NAFLDの診断と最新の治療-高中性脂肪合併例について考える-
有田市学術講演会
《2023.2.15,Web開催》
  川口雅功 肝臓病の最新の話題と普段の心がけについて
令和4年度岬町肝臓病講演会
《2023.3.1,大阪府岬町》
  川口雅功 NAFLDの診断と最新の治療-高中性脂肪合併例について考える-
COWA Webカンファレンス
《2023.3.2,Web開催》
  川口雅功 一般診療における亜鉛の役割-肝疾患における亜鉛の知見も含めて―
大阪狭山市医師会学術講演会
《2023.3.6,Web開催》
検索